本宣传仅供医学药学专业人士阅读,请按医师或药师指导下使用。
本文是上海中医药大学附属普陀医院的郭刚、许建华等人发表在《世界华人消化病杂志》上的文章。目的是探讨人参皂苷Rg3对小鼠原发瘤切除后肝内转移瘤生长的荧光成像及血管生成的影响,阐明人参皂苷Rg3抑制原发瘤切除促进转移瘤生长的内在机制。研究表明,人参皂苷Rg3明显抑制小鼠原发瘤切除后肝内转移瘤的生长。明显抑制转移瘤的血管生成及细胞增殖,促进细胞凋亡。
治疗方法:
慢病毒转染建立稳定表达绿色荧光蛋白(GFP)基因的BALB/c小鼠结肠腺癌细胞株(CT26)。用细胞悬液法构建结肠癌肝转移瘤模型,分为原发瘤切除组、原发瘤未切除组、人参皂苷Rg3组。采用切除原发瘤及人参皂苷Rg3治疗l0 d,通过小动物活体成像系统观察肝转移瘤的生长情况。应用组织切片苏木素-伊红染色法,观察肿瘤转移灶情况。SP免疫组织化学法检测转移瘤MVD及细胞增殖,TUNEL技术检测转移瘤细胞凋亡。
观察指标:
肝转移瘤的生长情况、肿瘤转移灶情况、转移瘤MVD、细胞增殖、转移瘤细胞凋亡。
统计学方法:
将所有数据用SAS8.2软件进行处理,荧光值按公式进行计算:平均荧光光子数=总光子数/荧光面积,相关性采用Spearman等级相关进行分析。计量资料以mean土SD表示,先采用方差分析比较各组均数,再用最小显著性差异法分析每2组之间差异,以P<0.05为具有统计学显著性差异。
结 果:
1)GFP在裸鼠剖离肝脏中的表达转移瘤组织
各组小鼠治疗后平均转移灶荧光值经方差分析有显著性差异,人参皂昔Rg3组较原发瘤切除组及原发瘤未切除组平均肝转移灶荧光值明显降低(P<0.01),原发瘤未切除组平均肝转移灶荧光值明显低于原发瘤切除组(P<0.01,表1, 图3,4)。
表1各组BAlB/c nu nu裸鼠治疗后肝脏转移瘤数及肝脏质量(mean±SD,n=10)


图3 治疗10d后BALB/c nu nu裸鼠结肠癌肝转移模型剖离肝脏情况 A:原发瘤切除组;B:原发瘤未切除组;C:人参皂苷Rg3组

图4荧光活体成像法观察治疗后结肠癌肝转移模型裸小鼠剖离肝脏GFP基因的表达.A:原发瘤切除组;B:原发瘤未切除 组;C:人参皂昔Rg3组.
2)人参皂甞Rg3对原发瘤切除后转移瘤细胞增殖和凋亡的影响
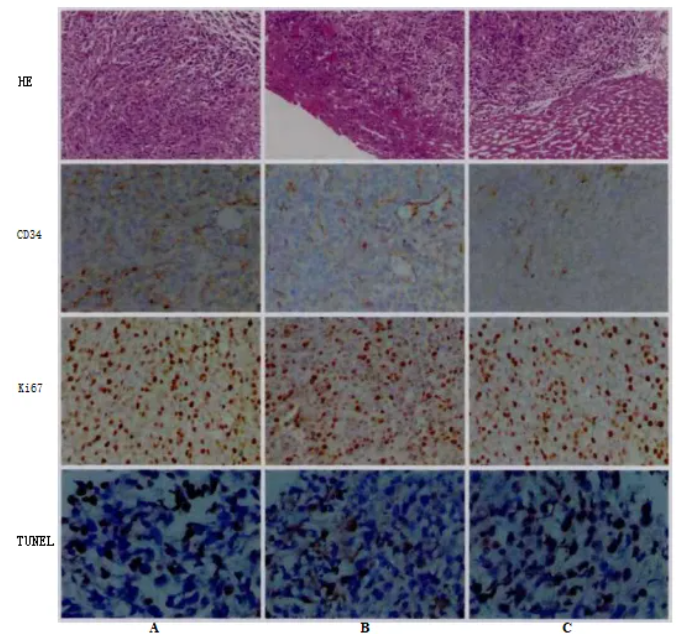
治疗后人参皂昔Rg3组与原发瘤切除组比较转移瘤细胞核Ki67的表达水平明显降低(P<0.01),原发瘤未切除组细胞核Ki67的表达水平明显低于原发瘤切除组。
治疗后人参皂昔Rg3组细胞凋亡指数较原发瘤切除组和原发瘤未切除组有明显的升高(P<0.01,表2,图5)。
表2 各组BALB/c nu nu裸鼠结肠癌肝转移模型治疗后转移瘤MVD, Ki67及TUNEL表达水平(mean±SD,n=10)


图5 结肠癌肝转移模型中各组小鼠肝脏病理切片转移瘤情况(HE x 100), Ki67, CD34及TUNEL表达水平(SP染色x200, TUNEL染色x400). A.原发瘤切除组;B:原发瘤未切除组;C:人参皂昔Rg3组.
结 论:
人参皂昔Rg3对小鼠结肠癌原发瘤切除后转移瘤生长有明显的抑制作用,其机制可能是通过直接或间接的作用,减少血管生成,诱导细胞凋亡,抑制细胞增殖。结合实验结果,我们认为结肠癌患者在原发瘤切除后,及时应用人参皂昔Rg3对抑制临床或亚临床转移灶生长 具有潜在的临床价值。
